Հայերեն
ՔԱՂԱՔԱԿԱՆՈՒԹՅՈՒՆ ՀԱՍԱՐԱԿՈՒԹՅՈՒՆ ՄՇԱԿՈՒՅԹ ՍՊՈՐՏ ՄԱՄՈՒԼԻ ՏԵՍՈՒԹՅՈՒՆ ՏՆՏԵՍՈՒԹՅՈՒՆ ՖՈՏՈ ՎԻԴԵՈ ՎԵՐԼՈՒԾՈՒԹՅՈՒՆՆԵՐ ՊԱՏՄՈՒԹՅԱՆ ԱՅՍ ՕՐԸ ՄԻՋԱԶԳԱՅԻՆ ԱՄԵՆԱԸՆԹԵՐՑՎԱԾ ԻՐԱՎՈՒՆՔ


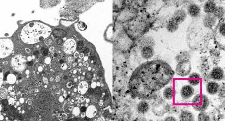
Գիտնականները լուսանկարել են կորոնավիրուսի օմիկրոն շտամը

ՀԱՍԱՐԱԿՈՒԹՅՈՒՆ

Հոնկոնգի համալսարանի գիտնականներին հաջողվել է առաջին անգամ լուսանկարել կորոնավիրուսի օմիկրոն շտամը։ Այս մասին տեղեկացվում է գիտական հաստատության կայքում։

Հետազոտողները կատարել են կորոնավիրուսի օմիկրոն շտամով վարակված կապկի երիկամի բջջի (Vero E6) էլեկտրոնային միկրոլուսանկար։ Դրանում նրանք տեսել են վիրուսային մասնիկներ պարունակող փքված վեզիկուլներով ախտահարումներ։

Բավական մեծացնելով լուսանկարը՝ գիտնականներին հաջողվել է տեսնել բնութագրական գնդաձեւ օբյեկտների կուտակումներ՝ մակերեսին թագի նման փշերով։

Սուրեն Աղաջանյանը ոսկե մեդալ է նվաճել Սերբիայում ընթացող Մ23 տարեկանների Եվրոպայի առաջնությունում Մինչ օրս Սպիտակ տունը Իրանի վրա հարձակման համար ծախսել է 12 միլիարդ դոլար Արտակ Ադամյանն այլևս չի գլխավորի կանանց Հայաստանի ազգային հավաքականը. ՀՖՖ Իսրայելը հայտարարել է ԻՀՊԿ հրամանատարի uպանության մասին, Իրանը նույնպես հարձակումներ է իրականացրել Փաշինյանի այցն ավատվել է փոխքաղաքապետի հրաժարականովՓաստաբան Էրիկ Ալեքսանյանը, դատավոր Արուսյակ Ալեքսանյանը մեղավոր են ճանաչվել Իրանի հետ կապված իրավիճակի ֆոնին Թուրքիան սկսել է ավելի շատ գյուղմթերք արտահանել Ռուսաստան Հինգ երկիր մերժել է ԱՄՆ-ի՝ Հորմուզի նեղուցի կոալիցիային միանալու կոչը Google-ը հեռացրել է ԱԻ-ի վրա հիմնված որոնման գործառույթը Իրանի իշխանությունները խիստ դժգոհ են Փաշինյանի կառավարությունից Փաշինյանի սիրտը սահմանադրական մեծամասնություն է ուզում «Գազպրոմ Արմենիա»-ն հայտարարություն է տարածել Telegram-ն արգելափակվում է ՌուսաստանումԱնցած 3 օրում գրանցվել է 41 ավտովթար․ 49 մարդ ստացել է տարբեր աստիճանի մարմնական վնասվածքներ Երեխային կլինիկական մահվան է հասցրել խորթ մայրը․ մանրամասներՆոր սահմանափակումներ ԱդրբեջանումՄեկ տարեկան երեխայի սպանության փորձի կասկածանքով ձերբակալվել է մեկ անձ Մահացել Է《Սև հովազ》ջոկատի թիկունքի պետ` Կարեն ՄուրադյանըՌուբեն Վարդանյանը փորձել է կոչով դիմել Ադրբեջանի օմբուդսմենին․ զանգը հարկադրաբար ընդհատվել է Երևան-Դուբայ չվերթները հետաձգվել ենՔոչարի փողոցում աղջկա ձեռքից խլել-տարել են դրամապանակը. ավազակությունը բացահայտվել է ՆԱՏՕ-ին «շատ վատ ապագա» է սպասվում, եթե դաշինքի անդամները չօգնեն Հորմուզի նեղուցի ապաշրջափակմանը․ Թրամփ «Կլինիկական մաh» ախտորոշմամբ Արաբկիրի ԲԿ է տեղափոխվել 1 տարեկան 2 ամսական երեխա, nտնձգnւթյnւն կատարողը ծնողներից մեկն էԾանոթ ու միաժամանակ անհայտ … Վարաբիերո ռոմ Ջուր չի լինի մի քանի ժամ․ հասցեներ Հունահռոմեական ըմբշամարտի Հայաստանի Մ-23 հավաքականը ԵԱ թիմային պայքարում գրավել է 2-րդ տեղը «Կովկասը հեռանում է Կրեմլից. Ինչպես է ԱՄՆ-ը գնում Մոսկվայի նախկին դաշնակիցներին»Վերաարդյունաբերականացում՝ որպես տնտեսության վերածննդի ճանապարհ Խոշոր վթար՝ ԵրևանումՊարենային անվտանգության վտանգված սահմանը «Խաղաղության գործընթացի փորձություն. Արդյո՞ք Իրանում պատերազմը սպառնում է «Թրամփի ճանապարհին» և Հայաստանի հարաբերություններին Ադրբեջանի հետ»Մարտի երկրորդ կեսը կլինի ձնառատՂրիմը մտել է Ռուսաստանի կազմ. պատմության այս օրը (16 մարտ) Ռուբլին թանկացել է․ փոխարժեքն՝ այսօր Կայացել է «Օսկար»-ի 98-րդ մրցանակաբաշխությունը. «Մարտը մարտից հետո» ֆիլմը լավագույնն է ճանաչվել Երևանում և մարզերում էլեկտրաէներգիայի ընդհատումներ կլինեն Հրապարակային պետք է ցույց տանք մեր uպառազինnւթյունը․ մեր հարևանները, հույս ունենք, որ դա չեն ընկալի որպես ագրեuիվության ցուցադրություն․ ՓաշինյանՎերջին մարդը, ումից մեզ օգնություն է պետք, Զելենսկին է. Թրամփ Մոջթաբա Խամենեիին շտապ տարհանել են ՌԴ․ ԶԼՄ Եթե նա ողջ է, ապա պետք է շատ խելացի բան անի իր երկրի համար՝ հանձնվի․ Թրամփը՝ Մոջթաբա Խամենեի մասինԹուրքիան պայմաններ չի տեսնում Իրանի և ԱՄՆ-ի՝ բանակցություններին վերադառնալու համար. ՖիդանԹեհրանը կպատասխանի իր էներգետիկ օբյեկտների դեմ ցանկացած հшրձակման․ Արաղչի Թրամփը հերքել է Սաուդյան Արաբիայում հինգ ամերիկյան ինքնաթիռների կnրծանման մասին լրատվամիջոցների հաղորդագրությունները«Բարսելոնայի» եզրային պաշտպան Ալեխանդրո Բալդեն ամառային տրանսֆերային պատուհանի ընթացքում կարող է հեռանալ ակումբիցԱդամ Սենդլերը 2025 թվականին դարձել է Հոլիվուդի ամենաբարձր վարձատրվող դերասանը Լիբանանում Իսրայելի կողմից իրականացված օդային հшրվածների հետևանքով 26 բուժաշխատող է զnհվելՀորոսկոպ. Յուպիտերը դուրս է եկել հետադարձ շարժումից և հնարավորություններ է բերել բոլոր նշաններինԹրամփը մերժել է Իրանից 450 կգ nւրան դուրս բերելու Պուտինի առաջարկը «Փյունիկ»-ը հաղթեց «Ալաշկերտ»-ին և գլխավորեց մրցաշարային աղյուսակը Սյունիքում Փաշինյանը դպրոցահասակ երեխաների է ներգրավվում քաղաքական գործընթացների մեջ
Ամենադիտված