Հայերեն
ՔԱՂԱՔԱԿԱՆՈՒԹՅՈՒՆ ՀԱՍԱՐԱԿՈՒԹՅՈՒՆ ՄՇԱԿՈՒՅԹ ՍՊՈՐՏ ՄԱՄՈՒԼԻ ՏԵՍՈՒԹՅՈՒՆ ՏՆՏԵՍՈՒԹՅՈՒՆ ՖՈՏՈ ՎԻԴԵՈ ՎԵՐԼՈՒԾՈՒԹՅՈՒՆՆԵՐ ՊԱՏՄՈՒԹՅԱՆ ԱՅՍ ՕՐԸ ՄԻՋԱԶԳԱՅԻՆ ԱՄԵՆԱԸՆԹԵՐՑՎԱԾ ԻՐԱՎՈՒՆՔ


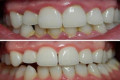
Ճի՞շտ է արդյոք հեռացնել ԻՄԱՍՏՈՒԹՅԱՆ ատամները.

ՎԻԴԵՈ

Մանրամասներիհամար՝ այստեղ

 

Ճի՞շտ է արդյոք հեռացնել ԻՄԱՍՏՈՒԹՅԱՆ ատամները.

Մոհամեդ Սալահը հայտարարություն է արել Տավուշի դպրոցներից մեկի հետնամասում 4-րդ դասարանի աշակերտները բռնnւթյшն են ենթարկել իրենց համադասարանցուն․ 10-ամյա երեխան տեղափոխվել է հիվանդանոց Թրամփը մեդալներ է հանձնել Ստալոնեին, Kiss ռոք խմբին և Գեյնորին Ազգային ժողովի մոտ բախվել են նախագահի աշխատակազմում հաշվառված համարանիշերով «Renault»-ը և «Honda»-ն․ կա տուժած Հավայան կղզիներում գտնվող Կիլաուեա հրաբուխը ժայթքել է (տեսանյութ) Փաշինյանն ու մի շարք պաշտոնյաներ Գյումրու Յոթ վերք եկեղեցում մասնակցում են պատարագին Վթարային ջրանջատում. ո՞ր հասցեներում ջուր չի լինի Առավոտյան իրավապահները բացել են Գյումրու Յոթ Վերք եկեղեցին Գնացի Հայաստան, բայց չկարողացա հասկանալ նրանԱրդյո՞ք Հայաստանը դուրս է եկել ՀԱՊԿ-իցԿոդեքս. Փաշինյանը այլևս չի փորձի ցույց տալ, որ ինքը թլպատված չէՀայաստանը ձգտում է մուտք գործել աֆրիկյան ադամանդի շուկաներՌուսաստանը բազմաթիվ պատճառներ ունի` ոչ մեկին չվստահելու․ Թուրքիայի ԱԳ նախարար Ի՞նչ փոխարժեքներ են սահմանվել այսօր Երեկոյան կնքվել են Գյումրու Յոթ Վերք եկեղեցու դռները, եկեղեցին բռնшզшվթվել է որոշակի մարդկանց կողմից․ հոգևորական (տեսանյութ) «Ինտերը» հաղթել է «Կոմոյին», Մխիթարյանը՝ գոլային փոխանցման հեղինակ Վարդենյաց լեռնանցքում և Սարավան-«Զանգեր» կոչվող հատվածում ձյուն է տեղում Ռոբերտ Քոչարյանի անունից ծաղկեպսակ է դրվել Սպիտակի երկրաշարժի զnhերին նվիրված հուշարձանին Հայաստանի տարածքում տեղի է ունեցել ավերիչ Սպիտակի երկրաշարժը, զոհվել է ավելի քան 25 000 մարդ, մոտ 31 000-ը վիրավորվել են, իսկ անօթևան են մնացել ավելի քան կես միլիոն մարդ. պատմության այս օրը ( 07 դեկտեմբեր)Այսօր Սպիտակի երկրաշարժի 37-րդ տարելիցն է Երջանկությունը կբացի իր դռները. Թամարա Գլոբան կանխատեսում է կյանքի երկար սպասված առաջընթաց 2 կենդանակերպի նշանների համար՝ սկսած դեկտեմբերի 7-ից Առաջիկա օրերին Մոսկվա է մեկնելու գործարարների մեծ պատվիրակություն. Օրբան Ձուկը թանկացել է 18.3 տոկոսով, բանջարեղենը՝ 14.6, միրգը՝ 7.8. պաշտոնական թվեր Թուրքիայում մարդատար ավտոբուսի բեռնատարի հետ բախման հետևանքով զոհվել է 7 մարդ, վիրավորվել՝ 11-ըՀրաձգություն ՀԱՀ-ի հանրակացարանում. զոհվել է 11 մարդ, այդ թվում ՝ 3-ամյա երեխա Վրաստանում Թուրքիայի քաղաքացու են ձերբակալել, որը փորձել է կոկաինի խոշոր խմբաքանակ ներկրել երկիրԲաքվի սուպերմարկետում «Ձմեռ պապեր» են կռվել (տեսանյութ)Դուբայի ամենաոճային նոր հյուրանոցի ներսում. Jumeirah Marsa Al Arab-ը դարձել է քաղաքի գլխավոր տեսարժան վայրըՌուսաստան-Ուկրաինա հակամարտությnւնը մոտենում է հնարավոր շրջադարձային կետի՝ Եվրոպայի և ԱՄՆ-ի միջև առկա պառակտման ֆոնին. BloombergՎրաստանի պետական բուհերը դադարեցնում են օտարերկրյա ուսանողների ընդունելությունըԱդրբեջանը գործադրում է բոլոր ջանքերը Հայաստանի հետ հարաբերություններում խաղաղ օրակարգ առաջ մղելու համար. Հաջիև«Ձյունանուշ լինելու մասին երազում էի 2-րդ դասարանից»․ Ջուլիետա Ստեփանյանը կմարմնավորի Սնեգուրաչկա ՎլադիմիրովնայինՔաղաքականությունը, որը մտադիր է իրականացնել Թրամփը, համընկնում է Թուրքիայի շահերի հետ․ ՖիդանՄբապեն արձագանքել է ԱԱ-2026-ի վիճակահանությանը ՖԻՖԱ-ի աշխարհի առաջնության խմբային փուլի վիճակահանության արդյունքներըՌուսաստանը և Հնդկաստանը սկսում են համագործակցություն անօդաչու թռչող սարքերի ոլորտումՄթնոլորտային օդում փոշու պարունակությունը գերազանցել է սահմանային թույլատրելի կոնցենտրացիան24 հազար հիվանդ, 1700-ից ավելի՝ հոսպիտալացում․ հոկտեմբերին սուր շնչառական վարակների դեպքերն աճել են Մբապեն արձագանքել է ԱԱ-2026-ի վիճակահանությանը Ռուսական ՀՕՊ-ի միջոցները որսացել են ուկրաինական ինքնաթիռային տիպի 116 ԱԹՍ. ՌԴ ՊՆ Ադրբեջանն ու Հայաստանը հասկանում են, որ խաղաղությունը դեպի վեր ուղղված գործընթաց է, ուստի մեծ աշխատանք է պահանջվում․ Հաջիև Նշանակվել է օտարերկրյա պետություններում Սփյուռքի գործերի հանձնակատար Խոշոր վթար՝ ՇիրակումՔՊ-ում դեռ որոշում են՝ ինչպես կազմել ընտրացուցակըԿյանքից հեռացել է Արտավազդ Սահակյանը Ալիևը նոր պահանջներ է դնում, իսկ Փաշինյանը ձկան պես լուռ էՋերմաստիճանը կնվազիՓաշինյանը փորձում է խափանել Եպիսկոպոսաց ժողովը Meta-ն սկսել է արգելափակել դեռահասների հաշիվները․ Ավստրալիան կարծում է՝ արգելափակումը կարող է դառնալ գլոբալ փոփոխության պատճառ Բրիտանական ազդեցությունը աճում է Հարավային Կովկասում
Ամենադիտված