Հայերեն
ՔԱՂԱՔԱԿԱՆՈՒԹՅՈՒՆ ՀԱՍԱՐԱԿՈՒԹՅՈՒՆ ՄՇԱԿՈՒՅԹ ՍՊՈՐՏ ՄԱՄՈՒԼԻ ՏԵՍՈՒԹՅՈՒՆ ՏՆՏԵՍՈՒԹՅՈՒՆ ՖՈՏՈ ՎԻԴԵՈ ՎԵՐԼՈՒԾՈՒԹՅՈՒՆՆԵՐ ՊԱՏՄՈՒԹՅԱՆ ԱՅՍ ՕՐԸ ՄԻՋԱԶԳԱՅԻՆ ԱՄԵՆԱԸՆԹԵՐՑՎԱԾ ԻՐԱՎՈՒՆՔ


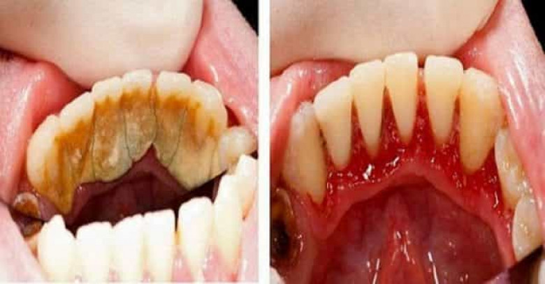
Ինչպե՞ս հեռացնել ատամնաքարերը տնային պայմաններում և ունենալ առողջ ու ձյունաճերմակ ատամներ

ԱՄԵՆԱԸՆԹԵՐՑՎԱԾ

Երբ գործը հասնում է ատամնաքարերը հեռացնելուն, որոնք կարող են պերիդոնտիտի առաջացման պատճառ դառնալ, լավագույն տարբերակը ատամնաբույժին այցելելն է: Սակայն կա մի այլընտրանքային տարբերակ, որը հնարավորություն է տալիս ազատվել այդ խնդրից տնային պայմաններում:

Անհրաժեշտ բաղադրիչներն են.

·  ատամի խոզանակ,

·  բաժակ,

·  ջուր,

·  ստոմատոլոգիական զոնդ,

·  ջրածնի պերօքսիդ,

·  կերակրի սոդա (ատամնափառը հեռացնելու ամենատարածված բաղադրիչը),

·  կերակրի աղ,

·  հակասեպտիկ՝ բերանի խոռոչը ողողելու համար :

Օգտագործման եղանակը.

Բաժակի մեջ խառնել մեկ ճաշի գդալ սոդան և ½ ճաշի գդալ աղը: Ստացված խառնուրդի մեջ թաթախել ատամի խոզանակը և շրջանաձև շարժումներով մաքրել ատամները: Խառնուրդի մնացորդները ոչ մի դեպքում չի կարելի կուլ տալ: Այս կերպ անհրաժեշտ է մաքրել ատամները 5 րոպե:

Այնուհետև անհրաժեշտ է պատրաստել լուծույթը՝ խառնելով կես բաժակ գոլ ջուրը և մեկ բաժակ ջրածնի պերօքսիդը: Ստացված լուծույթով լվանալ ատամները, իսկ վերջում ողողել բերանի խոռոչը մի բաժակ սառը ջրով:

Վերոնշյալ գործողություններից հետո անհրաժեշտ է ատամնաբուժական զոնդի օգնությամբ զգուշորեն մաքրել ատամնաքարերը, սակայն դա պետք անել չափազանց ուշադիր, որպեսզի լնդերը չվնասվեն:

Մաքրումից հետո բերանի խոռոչը պետք է ողողել հակասեպտիկ միջոցով: Այս գործընթացը պետք կրկնել 2 օր հետո և շարունակել նույն կերպ, մինչև ցանկալի արդյունքի հասնելը:

Ի՞նչ անել առողջ ու ձյունաճերմակ ատամներ ունենալու համար

Մրգեր ու բանջարեղեն

Վիտամին C-ն սպիտակեցնում է ատամները, իսկ մրգերն ու բանջարեղենը, այդ թվում նաև ելակն ու լոլիկները, անչափ հարուստ են այդ վիտամինով:

Ատամնաքարը փափկեցնելու համար կարելի է ատամները տրորել մրգերով, իսկ հետո ողողել սոդայի ու ջրի լուծույթով:

Կաթնամթերք

Կաթնամթերքի մեջ ամենաուժեղ չեզոքացնողը պանիրն է: Այն չեզոքացնում է ատամնափառ առաջացնող թթուները:

Բացի այդ, բերանի խոռոչի հիգենայի պահպանման համար անհրաժեշտ է ամեն օր քնելուց առաջ անպայման լվանալ ատամները: Ատամները լվանալուց հետո կարելի է տրորել դրանք նարնջի կեղևով, բայց չողողել, քանի որ այդպես կառաջանան բակտերիաներ:

Նաև անհրաժեշտ է ստուգել ատամների միջև տարածությունը և հետևել լնդերի գույնին:

Բաքվի սուպերմարկետում «Ձմեռ պապեր» են կռվել (տեսանյութ)Դուբայի ամենաոճային նոր հյուրանոցի ներսում. Jumeirah Marsa Al Arab-ը դարձել է քաղաքի գլխավոր տեսարժան վայրըՌուսաստան-Ուկրաինա հակամարտությnւնը մոտենում է հնարավոր շրջադարձային կետի՝ Եվրոպայի և ԱՄՆ-ի միջև առկա պառակտման ֆոնին. BloombergՎրաստանի պետական բուհերը դադարեցնում են օտարերկրյա ուսանողների ընդունելությունըԱդրբեջանը գործադրում է բոլոր ջանքերը Հայաստանի հետ հարաբերություններում խաղաղ օրակարգ առաջ մղելու համար. Հաջիև«Ձյունանուշ լինելու մասին երազում էի 2-րդ դասարանից»․ Ջուլիետա Ստեփանյանը կմարմնավորի Սնեգուրաչկա ՎլադիմիրովնայինՔաղաքականությունը, որը մտադիր է իրականացնել Թրամփը, համընկնում է Թուրքիայի շահերի հետ․ ՖիդանՄբապեն արձագանքել է ԱԱ-2026-ի վիճակահանությանը ՖԻՖԱ-ի աշխարհի առաջնության խմբային փուլի վիճակահանության արդյունքներըՌուսաստանը և Հնդկաստանը սկսում են համագործակցություն անօդաչու թռչող սարքերի ոլորտումՄթնոլորտային օդում փոշու պարունակությունը գերազանցել է սահմանային թույլատրելի կոնցենտրացիան24 հազար հիվանդ, 1700-ից ավելի՝ հոսպիտալացում․ հոկտեմբերին սուր շնչառական վարակների դեպքերն աճել են Մբապեն արձագանքել է ԱԱ-2026-ի վիճակահանությանը Ռուսական ՀՕՊ-ի միջոցները որսացել են ուկրաինական ինքնաթիռային տիպի 116 ԱԹՍ. ՌԴ ՊՆ Ադրբեջանն ու Հայաստանը հասկանում են, որ խաղաղությունը դեպի վեր ուղղված գործընթաց է, ուստի մեծ աշխատանք է պահանջվում․ Հաջիև Նշանակվել է օտարերկրյա պետություններում Սփյուռքի գործերի հանձնակատար Խոշոր վթար՝ ՇիրակումՔՊ-ում դեռ որոշում են՝ ինչպես կազմել ընտրացուցակըԿյանքից հեռացել է Արտավազդ Սահակյանը Ալիևը նոր պահանջներ է դնում, իսկ Փաշինյանը ձկան պես լուռ էՋերմաստիճանը կնվազիՓաշինյանը փորձում է խափանել Եպիսկոպոսաց ժողովը Meta-ն սկսել է արգելափակել դեռահասների հաշիվները․ Ավստրալիան կարծում է՝ արգելափակումը կարող է դառնալ գլոբալ փոփոխության պատճառ Բրիտանական ազդեցությունը աճում է Հարավային Կովկասում Ժամեր շարունակ ջուր չի լինի1 զոհ, 1 վիրավոր․ 29-ամյա կին վարորդը եղել է ոչ սթափ. նոր մանրամասներԵՄ-ն ՏՏ ոլորտում սահմանում է անիրագործելի կանոններ․ ԴուրովԹուրքիան և Հայաստանը քննարկել են Կարս-Գյումրի երկաթուղային ծառայության վերականգնման հարցը Բրյուսելում հիշել են «Մոլդովայի օրինակը» և խոստացել «աջակցել» Հայաստանին. նախընտրական ի՞նչ գումարներ է ուղարկում ԵՄ-ն. «Փաստ»Գաբրելյանով. Փաշինյանը վերահսկողության տակ է վերցրել ռուս ազգության մարդկանցՀԷՑ-ի լիցենզիայի չեղարկումը՝ քաղաքական ճնշման և գույքի բռնազավթման վտանգավոր նախադեպ Պայքարեք Ռուսաստանի դեմ «մինչև վերջին հայը». Կալլասը քաղաքական թակարդ է դրել Փաշինյանի համար. Ի՞նչ կանի Երևանը Աշխարհաքաղաքական վեկտորները՝ ուկրաինական պատերազմի ֆոնին. «Փաստ»Նոր և բարձր փոխարժեքներ՝ տարադրամի շուկայումԵկեղեցու վրա նոր ճնշումը՝ պետության ներգործության վտանգավոր սահմանում Հայաստանը ուղարկվել է Մոլդովայի ճանապարհով Եթե Փաշինյանը հաջողության հասնի, Բաքվի և Անկարայի դիրքերն ակնհայտորեն կամրապնդվեն. «Փաստ»Երկուշաբթի օրվա անջատման հասցեներըԿայացել է սահմանադրական փոփոխությունների հանրաքվե․ պատմության այս օրը ( 06 դեկտեմբեր)«Դավիթս ասում էր՝ երազանքս է, որ Ղարաբաղում ծառայեմ». Դավիթ Չաքրյանն անմահացել է հոկտեմբերի 16-ին. «Փաստ»Ողբերգական վթար․ 7 մեքենաներ են բախվելԻ՞նչն է Հայաստանում խանգարում կինոինդուստրիայի զարգացմանը. «Փաստ»Վտանգավոր հուշագիր. ինչի՞ց է իրականում տուժում Հայաստանը. «Փաստ»«Հրապարակված փաստաթղթերով իշխանության՝ մինչ այժմ առաջ քաշած թեզերը հօդս են ցնդել». «Փաստ»Խնայբանկում դրամական ավանդներ ունեցած ո՞ր քաղաքացիները փոխհատուցում կստանան 2026 թվականին. «Փաստ»Հաջորդ իշխանությունը ստիպված է լինելու ամեն ինչ սկսել զրոյից. «Փաստ»Չի բացառվում, որ հենց օդանավակայանում իրավապահները Կաթողիկոսին «մեկուսացնեն»․ «Ժողովուրդ» Անգամ մոլեռանդ աթեիստներն են սրբազաններին այցելում․ «Հրապարակ» Ամբողջ երկիրը դարձել է Փաշինյանի վախերի ու տագնապների պատանդը. «Փաստ»Իշխանության օգնական-փորձագետները՝ պատգամավորի թեկնածու․ «Ժողովուրդ»
Ամենադիտված