Հայերեն
ՔԱՂԱՔԱԿԱՆՈՒԹՅՈՒՆ ՀԱՍԱՐԱԿՈՒԹՅՈՒՆ ՄՇԱԿՈՒՅԹ ՍՊՈՐՏ ՄԱՄՈՒԼԻ ՏԵՍՈՒԹՅՈՒՆ ՏՆՏԵՍՈՒԹՅՈՒՆ ՖՈՏՈ ՎԻԴԵՈ ՎԵՐԼՈՒԾՈՒԹՅՈՒՆՆԵՐ ՊԱՏՄՈՒԹՅԱՆ ԱՅՍ ՕՐԸ ՄԻՋԱԶԳԱՅԻՆ ԱՄԵՆԱԸՆԹԵՐՑՎԱԾ ԻՐԱՎՈՒՆՔ


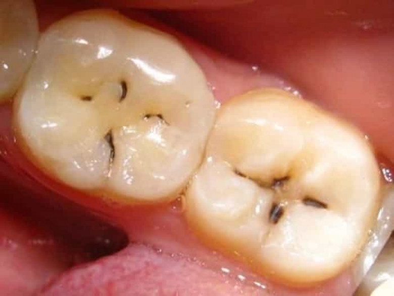
Բժիշկները թաքցնում են սա. ազատվեք կարիեսից մեկ բաղադրիչի օգնությամբ

ԱՄԵՆԱԸՆԹԵՐՑՎԱԾ

Կարիեսն ատամի կոշտ հյուսվածքներում ընթացող բարդ, դանդաղ պաթոլոգիական գործընթաց է, որն առաջանում է անբարենպաստ արտաքին և ներքին գործոնների հետևանքով:

Խոռոչների վնասվածքի առաջացման վրա ազդող հիմնական գործոններն են՝ բերանի խոռոչի անբավարար հիգիենան, ծխելը, սթրեսը, սննդի շատ օգտագործումը, շաքարով հարուստ մթերքների օգտագործումը և այլն:

Որպես կանոն՝ կարիես ունեցող ատամը ոչ մի կերպ չի տարբերվում, և կարող եք նույնիսկ չիմանալ, որ կարիես ունեք: Սակայն որոշ ժամանակ անց կարիեսով վնասված ատամը կարող է սկսել քայքայվել և առաջացնել ատամի ցավ, զգայնություն սառը կամ տաք սննդի նկատմամբ: Այս նշանների առաջացման դեպքում պետք է անհապաղ արդյունավետ բուժում ձեռնարկեք կարիեսից ազատվելու համար:

Հակառակ դեպքում կարող եք կորցնել ատամը: Ամենակարևոր բաղադրիչներից մեկը, որի կարիքն ունեն ատամները, կալցիումն է: Բոլորս գիտենք, որ կալցիումի ամենահարուստ աղբյուրը ձվի կեղևն է: Եթ կարիեսի խնդիր ունեք, ձեզ պետք կլինի ձվի կեղևից ատամի մածուկ:

Վերցրեք քառորդ բաժակ փոշիացրած կեղև, որը կարող եք ստանալ կեղևը բլենդերով մանրացնելով: Այդ փոշին խառնեք մի քանի կաթիլ անանուխի յուղի և 2 ճ. գ. կոկոսի յուղի հետ: Լավ խառենք բոլոր բաղադրիչները, ավելացրեք 1 ճ. գ. կերակրի սոդա: Շարունակեք խառնել բաղադիչները, մինչև մածուկ ստացվի:

Մածուկը պահեք լավ փակած տարայով: Մածուկն օգտագործեք օրը 3 անգամ և կազատվեք ատամնաբուժական խնդիրներից:  

Ձուկը թանկացել է 18.3 տոկոսով, բանջարեղենը՝ 14.6, միրգը՝ 7.8. պաշտոնական թվեր Թուրքիայում մարդատար ավտոբուսի բեռնատարի հետ բախման հետևանքով զոհվել է 7 մարդ, վիրավորվել՝ 11-ըՀրաձգություն ՀԱՀ-ի հանրակացարանում. զոհվել է 11 մարդ, այդ թվում ՝ 3-ամյա երեխա Վրաստանում Թուրքիայի քաղաքացու են ձերբակալել, որը փորձել է կոկաինի խոշոր խմբաքանակ ներկրել երկիրԲաքվի սուպերմարկետում «Ձմեռ պապեր» են կռվել (տեսանյութ)Դուբայի ամենաոճային նոր հյուրանոցի ներսում. Jumeirah Marsa Al Arab-ը դարձել է քաղաքի գլխավոր տեսարժան վայրըՌուսաստան-Ուկրաինա հակամարտությnւնը մոտենում է հնարավոր շրջադարձային կետի՝ Եվրոպայի և ԱՄՆ-ի միջև առկա պառակտման ֆոնին. BloombergՎրաստանի պետական բուհերը դադարեցնում են օտարերկրյա ուսանողների ընդունելությունըԱդրբեջանը գործադրում է բոլոր ջանքերը Հայաստանի հետ հարաբերություններում խաղաղ օրակարգ առաջ մղելու համար. Հաջիև«Ձյունանուշ լինելու մասին երազում էի 2-րդ դասարանից»․ Ջուլիետա Ստեփանյանը կմարմնավորի Սնեգուրաչկա ՎլադիմիրովնայինՔաղաքականությունը, որը մտադիր է իրականացնել Թրամփը, համընկնում է Թուրքիայի շահերի հետ․ ՖիդանՄբապեն արձագանքել է ԱԱ-2026-ի վիճակահանությանը ՖԻՖԱ-ի աշխարհի առաջնության խմբային փուլի վիճակահանության արդյունքներըՌուսաստանը և Հնդկաստանը սկսում են համագործակցություն անօդաչու թռչող սարքերի ոլորտումՄթնոլորտային օդում փոշու պարունակությունը գերազանցել է սահմանային թույլատրելի կոնցենտրացիան24 հազար հիվանդ, 1700-ից ավելի՝ հոսպիտալացում․ հոկտեմբերին սուր շնչառական վարակների դեպքերն աճել են Մբապեն արձագանքել է ԱԱ-2026-ի վիճակահանությանը Ռուսական ՀՕՊ-ի միջոցները որսացել են ուկրաինական ինքնաթիռային տիպի 116 ԱԹՍ. ՌԴ ՊՆ Ադրբեջանն ու Հայաստանը հասկանում են, որ խաղաղությունը դեպի վեր ուղղված գործընթաց է, ուստի մեծ աշխատանք է պահանջվում․ Հաջիև Նշանակվել է օտարերկրյա պետություններում Սփյուռքի գործերի հանձնակատար Խոշոր վթար՝ ՇիրակումՔՊ-ում դեռ որոշում են՝ ինչպես կազմել ընտրացուցակըԿյանքից հեռացել է Արտավազդ Սահակյանը Ալիևը նոր պահանջներ է դնում, իսկ Փաշինյանը ձկան պես լուռ էՋերմաստիճանը կնվազիՓաշինյանը փորձում է խափանել Եպիսկոպոսաց ժողովը Meta-ն սկսել է արգելափակել դեռահասների հաշիվները․ Ավստրալիան կարծում է՝ արգելափակումը կարող է դառնալ գլոբալ փոփոխության պատճառ Բրիտանական ազդեցությունը աճում է Հարավային Կովկասում Ժամեր շարունակ ջուր չի լինի1 զոհ, 1 վիրավոր․ 29-ամյա կին վարորդը եղել է ոչ սթափ. նոր մանրամասներԵՄ-ն ՏՏ ոլորտում սահմանում է անիրագործելի կանոններ․ ԴուրովԹուրքիան և Հայաստանը քննարկել են Կարս-Գյումրի երկաթուղային ծառայության վերականգնման հարցը Բրյուսելում հիշել են «Մոլդովայի օրինակը» և խոստացել «աջակցել» Հայաստանին. նախընտրական ի՞նչ գումարներ է ուղարկում ԵՄ-ն. «Փաստ»Գաբրելյանով. Փաշինյանը վերահսկողության տակ է վերցրել ռուս ազգության մարդկանցՀԷՑ-ի լիցենզիայի չեղարկումը՝ քաղաքական ճնշման և գույքի բռնազավթման վտանգավոր նախադեպ Պայքարեք Ռուսաստանի դեմ «մինչև վերջին հայը». Կալլասը քաղաքական թակարդ է դրել Փաշինյանի համար. Ի՞նչ կանի Երևանը Աշխարհաքաղաքական վեկտորները՝ ուկրաինական պատերազմի ֆոնին. «Փաստ»Նոր և բարձր փոխարժեքներ՝ տարադրամի շուկայումԵկեղեցու վրա նոր ճնշումը՝ պետության ներգործության վտանգավոր սահմանում Հայաստանը ուղարկվել է Մոլդովայի ճանապարհով Եթե Փաշինյանը հաջողության հասնի, Բաքվի և Անկարայի դիրքերն ակնհայտորեն կամրապնդվեն. «Փաստ»Երկուշաբթի օրվա անջատման հասցեներըԿայացել է սահմանադրական փոփոխությունների հանրաքվե․ պատմության այս օրը ( 06 դեկտեմբեր)«Դավիթս ասում էր՝ երազանքս է, որ Ղարաբաղում ծառայեմ». Դավիթ Չաքրյանն անմահացել է հոկտեմբերի 16-ին. «Փաստ»Ողբերգական վթար․ 7 մեքենաներ են բախվելԻ՞նչն է Հայաստանում խանգարում կինոինդուստրիայի զարգացմանը. «Փաստ»Վտանգավոր հուշագիր. ինչի՞ց է իրականում տուժում Հայաստանը. «Փաստ»«Հրապարակված փաստաթղթերով իշխանության՝ մինչ այժմ առաջ քաշած թեզերը հօդս են ցնդել». «Փաստ»Խնայբանկում դրամական ավանդներ ունեցած ո՞ր քաղաքացիները փոխհատուցում կստանան 2026 թվականին. «Փաստ»Հաջորդ իշխանությունը ստիպված է լինելու ամեն ինչ սկսել զրոյից. «Փաստ»
Ամենադիտված