Հայերեն
ՔԱՂԱՔԱԿԱՆՈՒԹՅՈՒՆ ՀԱՍԱՐԱԿՈՒԹՅՈՒՆ ՄՇԱԿՈՒՅԹ ՍՊՈՐՏ ՄԱՄՈՒԼԻ ՏԵՍՈՒԹՅՈՒՆ ՏՆՏԵՍՈՒԹՅՈՒՆ ՖՈՏՈ ՎԻԴԵՈ ՎԵՐԼՈՒԾՈՒԹՅՈՒՆՆԵՐ ՊԱՏՄՈՒԹՅԱՆ ԱՅՍ ՕՐԸ ՄԻՋԱԶԳԱՅԻՆ ԱՄԵՆԱԸՆԹԵՐՑՎԱԾ ԻՐԱՎՈՒՆՔ


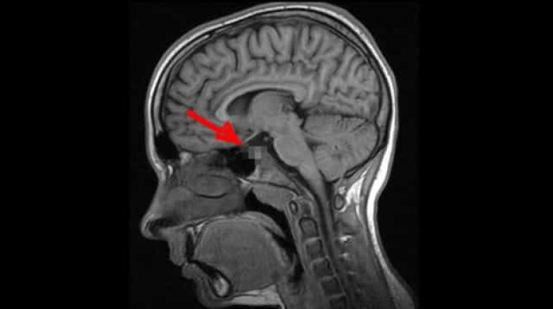
Գիտնականները հայտարարել են, որ ուղեղի այս հիվանդությամբ տառապում է մարդկանց գերակշիռ մեծամասնությունը

ԱՄԵՆԱԸՆԹԵՐՑՎԱԾ

Դեժավյուն հոգեբանական կարգավիճակ է, որի ընթացքում մարդուն թվում է, թե նա էլի է հայտնվել նման իրավիճակում: Երևի Ձեզ հետ էլ է պատահել նման բան՝ որևէ անծանոթ տուն կամ վայր առաջին անգամ եք ոտք դրել, սակայն Ձեզ թվացել է, որ այդտեղ արդեն եղել եք:

2009 թ. գիտնականները որոշեցին լրջորեն ուսումնասիրել այս ոչ սովորական երևույթը: Որոշ ժամանակ անց Մասաչուսեթսի տեխնոլոգիական համալսարանի մասնագետները հայտարարեցին, որ ուղեղն ունի այնպսիս հատված, որը պատասխանատու է այս երևույթի համար: Դեժավյուի գլխավոր դերը այն նեյրոններինն է, որոնց շնորհիվ կարողանում ենք զգալ պատկերների ամենափոքր տարբերություններն անգամ: Սրա շնորհիվ մարդը գիտակցում է, թե ինչպիսի տպավորություններ է ինքը վաղուց արդեն ստացել, իսկ որոնք են ամբողջապես նոր նրա համար: Այսն կարծես մարդու «կյանքի փորձառությունը» բաժանում է անցյալի և ներկայի: Սակայն երբ երկու տպավորություններ իրար շատ նման են լինում, ուղեղի այդ հատվածի աշխատանքը «կախում է», ինչն էլ բերում է տարօրինակ այս զագցմանը:

2009թ. բացահայտումից հետո միայն մեկ անպատասխան հարց է մնացել՝ այս երևույթը բնորոշ է առողջ մարդկա՞նց, թե՞ ոչ այնքան: Պատասխանը գտնելու պատասխանատվությունն իրենց վրա վերցրին Չեխիայի Մասարիկա և Մեծ Բրիտանիայի Էկսետերի համալսարանների մասնագետները: Նրանք պարզեցին, որ դեժավյու կարող է լինել անգամ փոքր տարիքում, երբ նոր կազմավորվում է ուղեղը: Հոգնախության և սթրեսի ժամանակ ուղեղի տվյալ հատվածի աշխատանքը խաթարվում է և արդյունքում առաջանում են հիշողություններ այնպիսի բաների մասին, որոնք երբեք չեն էլ եղել: Գիտնականների վերջնական դիագնոզը ցավալի է՝ դեժավյուն համարվում է նյարդաբանական խանգարում:

Քրեական ոստիկանները զենքի գործադրմամբ խուլիգանության և զենք-զինամթերք ապօրինի պահելու մեղադրանքով հետախուզվողի են հայտնաբերելՖրանսիան այլ տարածաշրջաններում ռազմական բազաներ տեղակայելու մտադրություն չունի. ՄակրոնԻրանի շուրջ ճգնաժամը հարվածել է Գերմանիայի տնտեսությանը․ երկրում գնաճը կրկին աճում էԱՄԷ-ն սկսել է գաղտնի հարվածներ հասցնել Իրանին․ The Wall Street JournalԿրասնոդարի երկրամասում դեռահասը կրակ է բացել դպրոցում. տուժել է երկու աշակերտՔիմ Քարդաշյանը և նրա դուստր Նորթ Ուեսթը ցուցադրել են իրենց համապատասխան ադամանդե գրիլզները Դեմբելեն՝ Ֆրանսիայի առաջնության լավագույն խաղացող Համայն Վրաստանի Կաթողիկոս-Պատրիարք Շիո III-ը բազմել է պատրիարքական գահին Հորմուզի նեղուցի շարունակական շրջափակումը մեծ ճնշում է գործադրում համաշխարհային տնտեսության և էներգետիկ անվտանգnւթյան վրա. ՖիդանԻրանը հնարավոր է համարում ԱՄՆ-ի հետ բանակցությունների վարումը. Փեզեշքիան Իսրայելը ապրիլի 8-ից ի վեր Լիբանանում hարվածել է Հեզբnլլահի 1,100 թիրախի Բաքվի պահեստներից մեկում խnշոր hրդեհ է բռնկվել ՌԴ-ն Հայաստանին է փոխանցել Հարավկովկասյան երկաթուղու կոնցեսիայի վերաբերյալ անհրաժեշտ պարզաբանումները Փաշինյանի վախվորած արձագանքը Ռուսաստանի նախագահին Համբուրգում աhաբեկչության գործով ձերբակալվել է 17-ամյա սիրիացի Հայտնի են Էդվարդ Միրզոյանի անվան պատանի կոմպոզիտորների 13-րդ մրցույթի մասնակիցները Ռուսաստանը պատրաստ է զարգացնել համագործակցությունը Վրաստանի հետ. ՌԴ ԱԳՆ Ներքին գործերի նախարարի գլխին մութ ամպեր են կուտակվումՄեր տնտեսական զարգացումը լճացման մեջ է առնվազն յոթ տարի․ Գերմանիայի կանցլեր Ռուսաստանը ակնարկում է ատոմակայանի մասինՓաշինյանը ցնցումների մեջ է կաթողիկոսի այցից Ադրբեջանական բանակում կորուստներ կան Spotify-ում Ռոզա Լինի Snap հիթը 2-րդն է «Եվրատեսիլի» պատմության մեջ ՆԳՆ-ն զգուշացնում է Վեճ և ծեծկռտուք՝ ԵրևանումԱրմավիրի համայնքային ոստիկանները հայտնաբերել են շանը մեքենային կապած վարորդին․ նա ձերբակալվել է Լիբանանի հարավում իսրայելական հարվածներից նոր զոհեր են գրանցվել Խնամքի նպաստի մասինՍլովակ պատգամավորը սուր ելույթ է ունեցել Եվրախորհրդարանում. «Թշնամին Բրյուսելն է, ոչ թե Ռուսաստանը» ԵԱՏՄ շրջանակներում առևտրաշրջանառությունը 2025-ին գերազանցել է 95 միլիարդ դոլարը․ ՌԴ ԱԳ փոխնախարար Դոլարն էժանացել է, ռուբլին՝ թանկացելՋուր չի լինելու մի քանի ժամ «Բեռլինից կոչ են արել Հայաստանին «ընդունել իրականությունը և շարժվել առաջ»»Ինչո՞ւ է ձախողվել «մեղմ ուժը», և ի՞նչ կպատահի Հայաստանի հետ. «Փաստ»Բոլոր ընտրություններից ամենա... «աշխարհաքաղաքականը». «Փաստ»Մոսկվայի կոշտացող ուղերձները և Հայաստանի առջև կանգնած ռիսկերը «Վաճառեցին՝ զվարճացան, հաշվեցին՝ արցունքներ թափեցին». Փաշինյանը փոխել է Հայաստանի աշխարհագրական դիրքը «Հովհաննեսից հետո մեր մխիթարությունն ու ուժը մեր մյուս երեխաները դարձան». Հովհաննես Խաչատրյանն անմահացել է հոկտեմբերի 3-ին, տուն «վերադարձել»... մոտ երեք ամիս անց. «Փաստ»Հումքից դեպի պատրաստի արտադրանք․ Սամվել Կարապետյանը ներկայացրել է գյուղատնտեսության զարգացման իր տեսլականը Մակրոնի և Փաշինյանի նպատակների մասին. Վտարել բոլոր ռուսներին և վաճառել Հայաստանը Թուրքիային Աշտարակի գյուղերից մեկում 5-ամյա երեխան ծանր այրվածքներով տեղափոխվել է հիվանդանոցԵվրոպան՝ «պատի» առջև. մարտահրավերներ ու հակասություններ. «Փաստ»Պլանային անջատումներ՝ նշված հասցեներում «Նիկոլի՝ Հայաստանում իշխանության մնալը օդ ու ջրի նման անհրաժեշտ է թուրք-ադրբեջանական տանդեմին». «Փաստ»Ադրբեջանցիները Վարդենիսի Վերին Շորժա բնակավայրի մոտ առաջ են շարժվել 3 կիլոմետր խորոնալով Հայաստանի տարածքի և սկսել խրամատներ փորել․ պատմության այս օրը (12 մայիս)Հայաստանում YouTube-ի մոնետիզացիան այսօրվանից հասանելի է․ Մխիթար Հայրապետյան Սպասվում է անձրև և ամպրոպ․ ջերմաստիճանը կնվազիՄեր՝ էությամբ հայ քրիստոնյաներիս խնդիրն է ձևավորել ազգային իշխանություն. «Փաստ»Տավուշում վագոն-տնակ է այրվել Կտրուկ շրջադարձի առարկայական վտանգները. «Փաստ»
Ամենադիտված