Հայերեն
ՔԱՂԱՔԱԿԱՆՈՒԹՅՈՒՆ ՀԱՍԱՐԱԿՈՒԹՅՈՒՆ ՄՇԱԿՈՒՅԹ ՍՊՈՐՏ ՄԱՄՈՒԼԻ ՏԵՍՈՒԹՅՈՒՆ ՏՆՏԵՍՈՒԹՅՈՒՆ ՖՈՏՈ ՎԻԴԵՈ ՎԵՐԼՈՒԾՈՒԹՅՈՒՆՆԵՐ ՊԱՏՄՈՒԹՅԱՆ ԱՅՍ ՕՐԸ ՄԻՋԱԶԳԱՅԻՆ ԱՄԵՆԱԸՆԹԵՐՑՎԱԾ ԻՐԱՎՈՒՆՔ


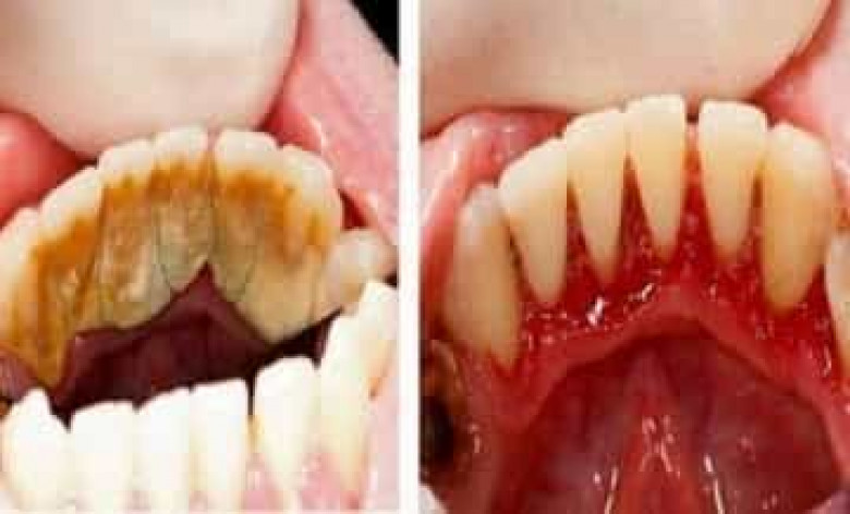
Ինչպես հեռացնել ատամնաքարերն ու ձյունաճերմակ ժպիտ ունենալ

ՀԱՍԱՐԱԿՈՒԹՅՈՒՆ

Չնայած նրան, որ այսօր ստոմատոլոգիական հայտնի պրոցեդուրաներից է ատամնաքարերի հեռացումը, շատերը չեն կարող իրենց նման հաճույք թույլ տալ:

Արժե՞ արդյոք ավել վճարել, եթե կարելի է տնային պայմաններում հեշտությամբ հեռացնել ատամնաքարերը:

  Դրա համար անհրաժեշտ է՝  – սև բողկ – կիտրոնի հյութ

 – սև բողկ – կիտրոնի հյութ Перейти ArtStudio у Московского вокзала. 5 мин от Невского. Высокодоходные инве­стиции. Цена на старте от 5,8 млн рубartstudio.rbi.ru Объявление скрыто. СкрытьНе интересуюсьНадоелоСпамМешает Яндекс.Директ 

   Պատրաստման եղանակը՝ Ոչ մեծ բողկը քերեք, ապա մի քանի կաթիլ կիտրոնի հյութ ավելացրեք: 

Ստացված խառնուրդն անհրաժեշտ է ծամել օրական 3 անգամ 2 րոպե:

Յուրաքանչյուր նման պրոցեդուրայից հետո անհրաժեշտ է մարքել ատամներն ատամի մածուկով: Արդեն 2 շաբաթ անց արդյունքն ակնհայտ կլինի:  

 

Նոյեմբերյանում փոթորկախառն կարկուտ է տեղումԾանոթ ու միաժամանակ անհայտ … ձեռքի ժամացույց Գերմանիայում ՀՀ հյուպատոսական բաժինը մայիսի 18-ից հունիսի 18-ը կանցկացնի լրացուցիչ ընդունելություն Անկում՝ ռուբլու շուկայում«Անդակո» ընկերության երկու արտադրատեսակի արտադրությունը կասեցվել է Մահացել է «Արյունոտ սպորտ» և «Գաղտնի նյութեր» ֆիլմերի դերասանը Թուրքիայի և Հայաստանի միջև ուղիղ առևտրի մեկնարկի ​​նախապատրաստական ​​աշխատանքներն ավարտվել են․ երկրի ԱԳՆ Արարատում կրակոցներ են հնչել․ ինչ է հայտնի«Ուժեղ Հայաստանի» ծրագիրը․ ինչպես են առաջարկում հաղթահարել աղքատության թակարդը Կրկին վթար է․ երկար ժամանակ ջուր չի լինի«Փորձագետ. Երևանյան գագաթնաժողովը ՀԱՊԿ-ից Հայաստանի դուրս գալու և ինքնիշխանության կորստի նախաբանն է»«Աշխարհագրական վերակողմնորոշում և «ճաշատեսակ եվրոպական սեղանին». նչպես են տարբեր երկրներում գնահատում Հայաստան-ԵՄ գագաթնաժողովը»Եվրոպան իր համար պահում է ատոմը, Հայաստանին՝ մթություն առաջարկում Ադրբեջանի զինված ուժերը հատել են Հայաստանի պետական սահմանը, խորացել 3,5 կիլոմետր և փորձել պարփակել Սև լիճը. պատմության այս օրը (13 մայիս) Հայտնի են «Եվրատեսիլ 2026»-ի առաջին կիսաեզրափակիչը հաղթահարած երկրները Հարվածներ են հասցրել 12-ամյա տղայի գլխին․ մանրամասներԱդրբեջանgիները պղծել են Արցախի Վաղուհաս գյուղի ազատամարտիկների գերեզմանngը՝ նպատակն է հայկական հետքի վերացnւմն ու պատմական հիշողության ջնջnւմը Նիկոլ Փաշինյանը «խաղեր տվողներին» պատժելու է. «Հրապարակ» Մեքենան դուրս է եկել ճանապարհի երթևեկելի հատվածից և բախվել ցանկապատին․ տուժած կաՀակակոռուպցիոն կոմիտեի ղեկավարը հավաք է արել. ինչ սպասել. «Ժողովուրդ» ՔՊ-ում լայվի «մարաթոն» է հայտարարված. «Հրապարակ» Էկոպարեկային ծառայության պետի միլիոնները, վարկերն ու քաղաքական կարիերան. «Ժողովուրդ» Քրեական ոստիկանները զենքի գործադրմամբ խուլիգանության և զենք-զինամթերք ապօրինի պահելու մեղադրանքով հետախուզվողի են հայտնաբերելՖրանսիան այլ տարածաշրջաններում ռազմական բազաներ տեղակայելու մտադրություն չունի. ՄակրոնԻրանի շուրջ ճգնաժամը հարվածել է Գերմանիայի տնտեսությանը․ երկրում գնաճը կրկին աճում էԱՄԷ-ն սկսել է գաղտնի հարվածներ հասցնել Իրանին․ The Wall Street JournalԿրասնոդարի երկրամասում դեռահասը կրակ է բացել դպրոցում. տուժել է երկու աշակերտՔիմ Քարդաշյանը և նրա դուստր Նորթ Ուեսթը ցուցադրել են իրենց համապատասխան ադամանդե գրիլզները Դեմբելեն՝ Ֆրանսիայի առաջնության լավագույն խաղացող Համայն Վրաստանի Կաթողիկոս-Պատրիարք Շիո III-ը բազմել է պատրիարքական գահին Հորմուզի նեղուցի շարունակական շրջափակումը մեծ ճնշում է գործադրում համաշխարհային տնտեսության և էներգետիկ անվտանգnւթյան վրա. ՖիդանԻրանը հնարավոր է համարում ԱՄՆ-ի հետ բանակցությունների վարումը. Փեզեշքիան Իսրայելը ապրիլի 8-ից ի վեր Լիբանանում hարվածել է Հեզբnլլահի 1,100 թիրախի Բաքվի պահեստներից մեկում խnշոր hրդեհ է բռնկվել ՌԴ-ն Հայաստանին է փոխանցել Հարավկովկասյան երկաթուղու կոնցեսիայի վերաբերյալ անհրաժեշտ պարզաբանումները Փաշինյանի վախվորած արձագանքը Ռուսաստանի նախագահին Համբուրգում աhաբեկչության գործով ձերբակալվել է 17-ամյա սիրիացի Հայտնի են Էդվարդ Միրզոյանի անվան պատանի կոմպոզիտորների 13-րդ մրցույթի մասնակիցները Ռուսաստանը պատրաստ է զարգացնել համագործակցությունը Վրաստանի հետ. ՌԴ ԱԳՆ Ներքին գործերի նախարարի գլխին մութ ամպեր են կուտակվումՄեր տնտեսական զարգացումը լճացման մեջ է առնվազն յոթ տարի․ Գերմանիայի կանցլեր Ռուսաստանը ակնարկում է ատոմակայանի մասինՓաշինյանը ցնցումների մեջ է կաթողիկոսի այցից Ադրբեջանական բանակում կորուստներ կան Spotify-ում Ռոզա Լինի Snap հիթը 2-րդն է «Եվրատեսիլի» պատմության մեջ ՆԳՆ-ն զգուշացնում է Վեճ և ծեծկռտուք՝ ԵրևանումԱրմավիրի համայնքային ոստիկանները հայտնաբերել են շանը մեքենային կապած վարորդին․ նա ձերբակալվել է Լիբանանի հարավում իսրայելական հարվածներից նոր զոհեր են գրանցվել Խնամքի նպաստի մասին
Ամենադիտված